

fatiga
coloración amarillenta de la piel y los ojos
trastornos digestivos
pérdida de apetito
mal aliento

Hepatosis degeneración grasa del hígado

Inflamación aguda

Fibrosis sustitución del parénquima hepático por tejido cicatricial

Cirrosis descomposición del hígado
Extracto atomizado de Cynara scolymus (alcachofa) Antioxidante natural. Neutraliza la acción de las toxinas, las descompone y ayuda a limpiar el hígado. Previene enfermedades infecciosas. Refuerza la función protectora. Reduce los niveles de ácido úrico.
Extracto atomizado de Baccharis articulata (carqueja) Estimula la regeneración celular y la estructura del hígado. Detiene su destrucción, inhibe los procesos tumorales y el desarrollo de células cancerosas y tiene un poderoso efecto antiinflamatorio.
Extracto atomizado de Nasturtium officinale (berro) Mejora la función hepática. Reduce el colesterol de alta densidad en la sangre. Alivia los síntomas desagradables que acompañan a las enfermedades del hígado, las vías biliares y el intestino: náuseas, ardor de estómago, eructos, sensación de pesadez, flatulencia y espasmos.

El hígado protege al cuerpo de factores externos y elimina las sustancias venenosas de la sangre. Actúa como un filtro y debe limpiarse de vez en cuando.
Leveren protege el hígado, restaura las células dañadas y combate el desarrollo de enfermedades. Es un producto eficaz para la hepatosis, la fibrosis y la hepatitis tóxica y medicinal.
Fue desarrollado para ayudar al hígado a funcionar correctamente, para protegerlo y restaurarlo en un tiempo récord.

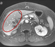
Resonancia magnética antes del tratamiento

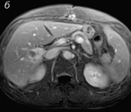
Resonancia magnética después de 30 días de tratamiento






Tengo una enfermedad hepática hereditaria, por lo que tomo regularmente medicamentos de apoyo.
Leveren es mi favorito por ahora. Es natural, no tiene efectos secundarios y siento una explosión de energía cada vez que lo tomo.